Wilms tumor (Nephroblastoma, Kidney cancer)

Wilms tumor (Nephroblastoma, Kidney cancer)

The kidneys are bean shaped structures which function as excretory organs of our body. They help in removal of the waste products of metabolism and they also play an essential role in maintenance of homeostatic functions. Wilms tumor is defined as malignant condition of the kidney occurring in children. Cases of wilms tumor is rare in adults. The incidence is peak between the age of 3-5years.Unilateral affection is more commonly seen.

Causes and risk factors

The exact cause of cancer is not known, but various risk factors or predisposing factors have been put forth. It is found that the cells undergo an uncontrolled and abnormal proliferation which gives rise to formation of tumors. Regular use of non steroidal anti inflammatory drugs during pregnancy, exposure to radiation or infection by viruses like oncovirus, Kaposi’s sarcoma herpes virus increases the risk for developing cancer in babies.

 

Clinical presentation

An individual presenting with wilms tumor can comes up with complaints of fever, nausea and vomiting. Pain in abdomen occurs. On examination enlargement of abdomen is seen. The child may become irritable and cranky. Pallor is seen. Difficulty or pain during micturation is seen. Hematuria is seen.

 

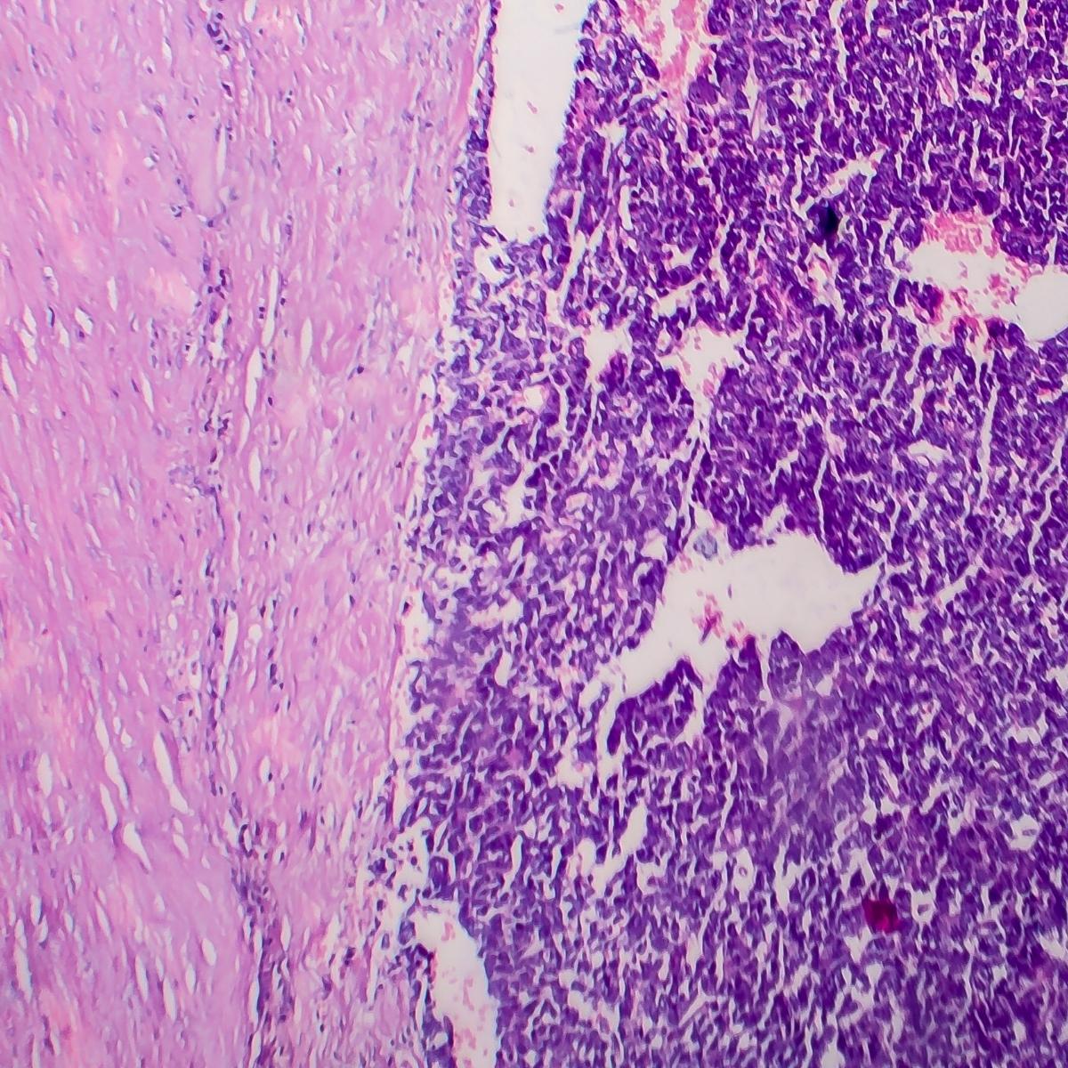
Investigations

Diagnosis is done on the basis of the symptoms narrated and the examination carried out by the doctor. A routine blood test and complete urine analysis along with ultrsonography of the abdomen is advised. If abnormality is detected then biopsy is done. Other investigations like renal function test, MRI or CT scan of the abdomen can also be recommended.

 

Treatment

The stages of kidney cancer will determine the treatment approach. Primarily it constitute of chemotherapeutic agents are used to destroy the abnormal cells. Radiation therapy is also helpful where high energy rays are used to destroy the cancerous cells. In later stages surgery is advised. It includes either complete nepherectomy or partial nepherectomy. Radical nepherectomy can also be used.

 

Other modes of treatment:

Certain other modes of treatment can also be helpful in coping up the symptom. Taking into consideration the symptoms in holistic way, homoeopathy can offer a good aid for the relief of the symptoms.

 

Recent update:

A research from Boston Children’s Hospital suggest that Nearly one-third of cases of Wilms tumor, a pediatric cancer of the kidney, are linked to a gene called Lin28.

Leave a Reply

Your email address will not be published. Required fields are marked *

GO FURTHER

The Best Of Health, wellness & Fitness Delivered To Your Inbox

Sign up for our newsletter to get the latest product updates, information & exclusive offers