Acute otitis media

Acute otitis media

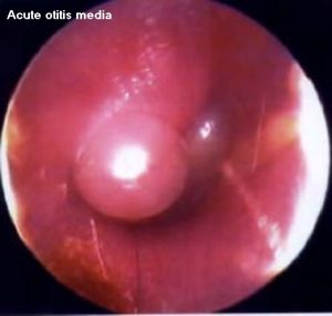
Otitis media is the inflammation or infection of the middle ear. Depending upon the duration of illness, it may be acute or chronic. Acute otitis media has a sudden onset and follows a rapid course. The typical patient of acute otitis media is a young child, adults are rarely affected.

Causes and risk factors

Otitis media is an infectious disease that can be transmitted amongst children at school. Those suffering from repeated common colds or upper respiratory tract infections are at a higher risk of developing otitis media.

The common infective organisms causing AOM are Streptococcus pneumoniae and Haemophilus influenzae.

Clinical presentation

The patient suffers from a high fever along with pain in the ear. Other symptoms include irritability and fatigue. Sometimes febrile convulsions may occur. There may be some degree of hearing loss. Ear discharge may be present – purulent or fetid. AOM is frequently associated with a co-existing upper respiratory tract infection.

Investigations

The doctor carries out a detailed ear examination. The eardrum as well as the outer portion of the ear appears red. If there is a ruptured tympanic membrane, the ear discharge is sent for culture and sensitivity examination. A CT or MRI scan may be performed if underlying complications are suspected.

Treatment

Analgesic and antipyretic drugs are prescribed in order to relieve pain and fever. Antibiotics are prescribed in cases with complications or in those patients where there are no signs of spontaneous resolution.

Complications

Rupture of the tympanic membrane is a common complication. AOM may progress to chronic suppurative otitis media. It can lead to infections of adjacent parts such as labyrinthitis, mastoiditis, and meningitis. Other complications include cholesteatoma, facial nerve palsy, and hearing impairment.

When to contact a doctor

Contact a doctor as soon as you experience fever, ear pain, or discharge from the ear.

Facts and figures

The peak age of incidence of acute otitis media is between 6 months and 2 years of age.

Systems involved

Otology, respiratory.

Organs involved

Ear, nose.

Leave a Reply

Your email address will not be published. Required fields are marked *

GO FURTHER

The Best Of Health, wellness & Fitness Delivered To Your Inbox

Sign up for our newsletter to get the latest product updates, information & exclusive offers